Advanced Medical Image Post-Processing
Our Certified Analysts Provide Hospitals And Imaging Centers Outsourced Post-Processing Services For MRI And CT Studies.
Each PIA client is assigned a lead technologist responsible for ensuring client specific customization and protocols are implemented and adhered to for each imaging study. If physicians have questions or require assistance with custom modification technologists are available in real-time for immediate consultation.
We understand that behind each study is a patient and patient care is top priority.
Our Outsource Post-Processing Analysis Services
PIA offers a quality educational training program from expert staff members who have over 20 years of experience in CMR and CCTA. You can be assured that your staff will gain practical education around CMR and CCTA criteria and measurement which will include a performance assessment and feedback. Upon completion, your technologist will have a comprehensive understanding of image acquisition and the basic cardiovascular capabilities of their MR and CT system. As a result of this expert training, our clients see up to an increase of 3x in scanner throughput.
Your Trusted 3D Lab
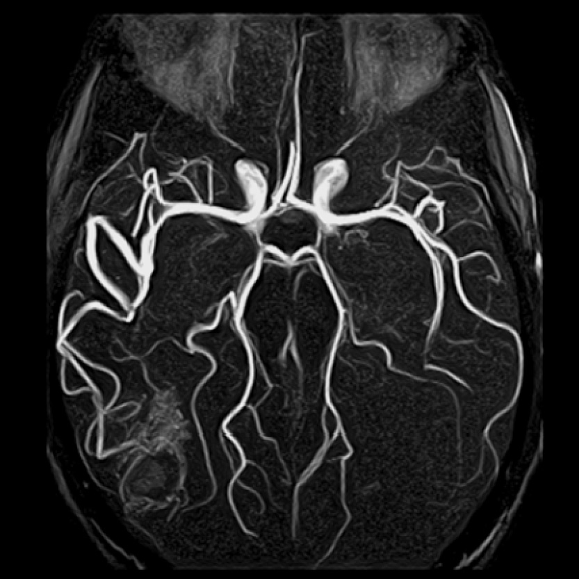
Precision Image Analysis Provides Secure Cloud-Based Medical Image Post-Processing As A Service With Expertise In Cardiac, Vascular And Neuro. We Seamlessly Integrate Into Existing Workflows And Help Hospitals And Healthcare Systems Reduce Costs, Increase Efficiency And Improve Standardization.
Unlike Other Post-Processing Providers, Our TATs Have Not Been Impacted By The Current Climate Or Pandemic. You Can Think Of Us As Your "Rad Tech In The Cloud", Providing Guaranteed TATs 24/7/365.
What Our Customers Say
© 2026 Precision Image Analysis, Inc. All Rights Reserved.
Please fill out the form to get started.
Please fill out the form to get started.
Please fill out the form to get started.
Please fill out the form to get started.



